26 juin 2024
Dysplasie de la hanche chien : Guide complet
bookmark_borderChien, SantéeditMélany Marchal
 
            Dysplasie de la hanche chien : Guide complet
Qu'est-ce que la Dysplasie ?
Dysplasie hanche chien symptômes
L'apparition des symptômes dépend de la sévérité de la dysplasie.
Généralement, les chiens montrent des signes au bout de un à deux ans mais il arrive que certains chiots montrent déjà des symptômes.
Les symptômes les plus fréquents sont les boiteries et la douleur mais on peut également remarquer :
- boiterie,
- douleur,
- démarche anormale,
- difficultés à se lever ou à sauter,
- position anormale pour répartir le poids sur d'autres membres,
- intolérance à l'exercice,
- boiterie après exercice,
- perte de masse musculaire aux hanches.
Si la boiterie peut être causée par d'autres pathologies, en règle générale, il faut consulter un vétérinaire lorsque l'on remarque un problème de mobilité.
Heureusement, il existe plusieurs options de traitements pour améliorer le confort et la qualité de vie des chiens concernés.

Cause de la dysplasie de la hanche chien
Divers facteurs peuvent contribuer au développement de la dysplasie de la hanche et du coude.
La première cause est d'origine héréditaire, elle n'implique pas forcément que l'animal va développer la pathologie mais il peut être largement prédisposé et la développer si son hygiène de vie est insuffisante.
L'obésité et les prises de poids trop rapides sont les deuxièmes responsables. Il est crucial de ne pas suralimenter les chiots en croissance et de veiller à conserver un poids de forme.
De plus, le surpoids et l'obésité augmentent les symptômes de la dysplasie et accélèrent la dégénérescence.
Les traumatismes peuvent également causer des dysplasie.
Une activité physique trop intense précocement ou un accident peuvent provoquer des troubles articulaires.
Dysplasie chien races prédisposées
Certaines races sont prédisposées à la dysplasie de la hanche et du coude.
Si l'on pense généralement au Berger allemand, de nombreuses races sont également fréquemment atteintes.
Parmi les plus touchées, on trouve :
- Staffordshire Terrier Américain.
- Chien finnois de laponie.
- Corgi.
- Boxer.
- Berger Blanc Suisse.
- Épagneul Breton.
- Cocker Spaniel Anglais.
- Chien Loup Tchequoslovaque.
- Samoyede.
- Berger Australien.
- Berger Allemand.
- Labrador.
- Bouvier Bernois.
- Setter Anglais.
- Cane Corso.
- Dogue de Bordeaux.
- Leonberg.
- Rottweiler.
- Berger Belge.
- Golden Retriever.
- Saint-Bernard.
Ces races présentent un risque accru en raison de leur taille, de leur poids et de leur vitesse de croissance.
Cependant, on trouve également dans cette liste des chiens de plus petite taille.

Facteurs contributifs chez le chiot
De nombreux cas de dysplasie sont causés par des erreurs lors de la croissance des chiots.
Les conditions de croissance jouent un rôle crucial dans le développement de cette pathologie.
- Une alimentation déséquilibrée chez les grandes races : alimentation trop riche en calcium,
- Surpoids juvénile : apport journalier trop riche, contrainte sur les articulations précoce,
- Activité physique intensive précoce.
- Chocs répétés durant la croissance : course sur le béton, courir dans les escaliers etc.
Les chiots en pleine croissance ne doivent pas être soumis à des exercices intenses ou prolongés.
Leurs articulations sont encore en développement et ont besoin de se solidifier.
S'il peut être tentant de répondre à l'énergie débordante des chiots par une course de 10km, c'est une erreur.
Vous trouverez nos conseils pour l'activité sportive des chiots dans notre article faire du sport avec son chien.
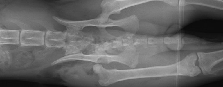
Diagnostic dysplasie
Dysplasie chien traitement et méthodes de soulagement
Si votre chien est diagnostiqué pour une dysplasie, il y'a plusieurs options de traitements.
Les recommandations vous seront proposées en fonction de la sévérité du cas de votre animal, de sa taille, son poids et sa santé générale.
Les options vont du traitement conservatif à la chirurgie.
- dysplasie modérée : physiothérapie, gestion du poids, antidouleurs, compléments alimentaires, exercice doux régulier.
- dysplasie grave : chirurgie pour remodeler l'articulation.
Il est recommandé de consulter un vétérinaire orthopédique spécialisé pour obtenir les meilleures solutions de traitements.
Chirurgies de la dysplasie
Les chirurgies ne peuvent pas toujours restaurer une totale fonction de l'articulation mais elles peuvent souvent améliorer le mouvement et la qualité de vie des chiens.
Parmi les possibilités on trouve :
- Symphysiodèse pubienne juvénile : cette intervention chirurgicale est pratiquée sur des chiots âgés de moins de 18 semaines. Il s'agit d'une chirurgie peu invasive qui ferme les plaques de croissance du bassin du chiot. Il modifie le développement du bassin pour aider à prévenir la dégénérescence. La plupart des chiots ne ressentent aucune douleur et ont une fonction normale de la hanche quelques mois après la chirurgie. Elle est parfois réalisée à titre préventif puisque peu risquée.
- Ostéotomie pelvienne : Cette chirurgie est pratiquée sur des chiots souffrant des premiers stades de dysplasie. Cette option concerne les chiens entre 5 à 10 mois d'où l'importance d'agir rapidement en cas de symptômes. Les résultats de ce type d'intervention sont très bons.
- Arthroplastie totale de la hanche : Cette intervention consiste au remplacement de l'articulation par une prothèse de hanche. Cette opération est une très bonne option en cas de dysplasie douloureuse et handicapante. Une fois guéri, le chien a généralement une amplitude de mouvement normale et sans douleur au niveau de ses hanches.
- Exérèse de la tête fémorale : Dans cette procédure, la tête fémorale est retirée. C'est une opération plutôt extrême et qui est réalisée quand il n'y a pas d'autres possibilités. Cependant, cela ne rétablit pas la fonction normale de la hanche mais soulage la douleur. De plus, il est essentiel que le chien conserve un poids santé et il sera limité dans ses activités.
Les chirurgies orthopédiques sont des interventions sérieuses avec une convalescence délicate.
Il est indispensable d'être rigoureux en soins post-opératoire de et de veiller à l'hygiène de vie de l'animal en lui proposant une alimentation saine, équilibrée et en ration optimale ainsi que lui faire faire de l'exercice adapté.
N'hésitez pas à discuter avec votre vétérinaire à propos des risques attendus, du temps de convalescence, des statistiques de succès et des dépenses liés à ces opérations.
Prix opération dysplasie chien
Les interventions orthopédiques sont en effet plutôt coûteuses.
Il est recommandé de souscrire rapidement à une assurance maladie à l'adoption d'un chien prédisposé.
Attention à bien choisir votre contrat pour vous assurer que ce type de traitement est pris en charge.
Attention, il y a un délai de carence pour les interventions liées à ce type de pathologies et l'assurance doit être souscrite avant tout diagnostic.
A défaut, de nombreuses cliniques vétérinaires proposent des facilités de paiement et il existe également des dispensaires.
Le prix dépend du type de procédure, du lieu de l'intervention mais également de la taille de l'animal.
Ces interventions commencent autour des 500 € et peuvent atteindre plusieurs milliers.
Dysplasie Vice Rédhibitoire
Dysplasie hanche chien espérance de vie
Dysplasie hanche chat
La dysplasie est plus rare chez le chat mais elle peut concerner certains individus.
Les chats sont également plus discrets dans la manifestation des symptômes de douleur mais une boiterie, une difficulté au mouvements et aux sauts ainsi qu'une irritabilité peuvent vous alarmer.
La dysplasie chez le chat peut être héréditaire mais elle est principalement causée par l'obésité.
Les grandes races sont plus concernées par le facteur héréditaire tels que les Maine coon ou les Himalayen.
Chez le chat, ce n'est pas un vice rédhibitoire.
Conclusion Dysplasie hanche et coude
Article précédent
                    Croquettes pour chat sans céréales : bonne ou mauvaise idée ?
                
Article suivant
                    Alimentation pour chien sportif - Conseils et exemples
                
